How Dental Veneers Can Transform the Shape and Color of Your Smile
How Dental Veneers Improve the Shape and Color of Your Smile
A bright, confident smile can make a dramatic difference in how you feel and interact with others. If you have chipped, stained, or uneven teeth, you might feel self-conscious. Cosmetic veneers offer a simple and effective solution. They can completely change the look of your teeth, giving you a smile you’ll be proud to share. Our team at Smiles of Anderson is here for you. We can help break down how veneers work, what the process for veneers is like, and how they can help you achieve a great smile.

What Are Dental Veneers and How Do They Work?
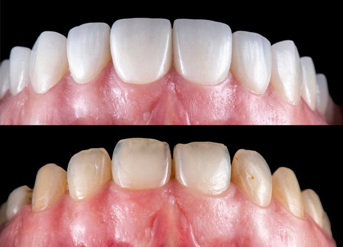
Dental veneers are thin, custom-made shells that improve the appearance of your teeth by covering their front surface. They are crafted from porcelain or resin composite materials, offering a natural look. Veneers are a reliable solution for improving your smile while addressing various cosmetic concerns. Here’s what sets them apart from other dental solutions:
- Fix Chipped or Stained Teeth: Veneers can cover chips, cracks, or discoloration, instantly brightening and enhancing your smile.
- Natural Appearance: Porcelain veneers mimic the look of real teeth, blending seamlessly for a flawless finish.
- Durable and Long-Lasting: Your dentist bonds these thin shells directly to your teeth, transforming your smile with long-lasting results.
- Custom Fit: Each veneer is tailored to fit your teeth perfectly, creating a unique and comfortable finish.
- Improves Tooth Alignment: Veneers can address minor misalignments, giving your teeth a straighter appearance.
Transforming the Shape and Color of Your Smile
Veneers have the capability to reshape your smile completely. If you have teeth that are too small, uneven, or gaps between teeth, veneers can create a uniform and balanced look. You can also choose the exact shade of white you want. This is especially helpful for covering deep stains that whitening treatments can’t fix. Veneers can help create a natural-looking, brighter smile that complements your facial features and boosts your confidence.
The Emotional and Social Impact of Veneers
A beautiful smile can significantly boost your self-esteem. When you feel good about your smile, you are more likely to show it off. This newfound confidence can positively affect your personal and professional life. You may find yourself smiling more in photos, speaking up in meetings, and feeling more at ease in social situations. Many people who get veneers report feeling happier and more outgoing. Improving your smile is a powerful step toward improving your overall well-being. It allows your true personality to shine through without feeling held back by dental imperfections.
The Process of Getting Veneers
Getting your new smile with cosmetic veneers is a straightforward process. It usually takes a few visits to our office. We make sure you understand each step to feel comfortable and confident. Here’s how the process works:
- Your Initial Health Assessment:Meet with your dentist to discuss your smile goals. We examine your teeth to ensure cosmetic veneers are the right option for you.
- Tooth Preparation:Your dentist gently prepares your teeth. They remove a small amount of enamel to make space for the veneers.
- Crafting Your Veneers:We take a precise impression of your prepared teeth. This impression allows us to create your custom-made teeth veneers for a perfect fit.
- Temporary Protection:You may wear temporary veneers while your permanent ones are being crafted. These protect your teeth and give you a preview of your future smile.
- Final Bonding:Your custom veneers are ready for placement. The dentist bonds them securely to your teeth, giving you an improved smile that transforms your look.
How to Care for Your Cosmetic Veneers
Maintaining your new smile is straightforward and involves many of the same habits as caring for your natural teeth. Good oral hygiene is key to ensuring your veneers last for many years. Follow these simple tips to keep your smile looking its best:
- Daily Brushing: Brush your teeth twice a day with a non-abrasive toothpaste. This keeps your gums healthy and the surface of your veneers clean.
- Daily Flossing: Floss once a day to remove plaque from between your teeth and along the gumline. Healthy gums are essential for supporting your veneers.
- Careful Diet: Porcelain veneers resist stains well. You can keep them looking bright by enjoying things like coffee, tea, and red wine in moderation.
- Smart Choices: Avoid biting down on hard items such as ice or hard candies. Also, refrain from using your teeth to open packages to prevent any damage.
- Oral Health Appointments: Visit your dentist for regular cleanings and exams. These appointments help keep your veneers and natural teeth in excellent condition.
FAQs About Dental Veneers
When it comes to veneers for chipped or stained teeth, it’s normal to have questions. Some of the most common ones we face include:
- How long do veneers last? With proper care, porcelain veneers can last for 10 to 15 years, and sometimes even longer. Regular dental visits will help maintain them.
- Is the veneer process painful? Your dentist will ensure you are comfortable throughout the procedure. A local anesthetic is often used, so you should feel little to no discomfort.
- Can veneers fix crooked teeth? Veneers can be used to correct minor misalignments and give the appearance of straighter teeth. For more significant alignment issues, other orthodontic treatment options may be recommended first.
Find a New Smile in Anderson, IN With Our Team Today
Cosmetic veneers offer a fantastic way to transform your smile and boost your confidence. At Smiles of Anderson, we provide a comfortable environment where your oral health is our top priorities. Our experienced team uses advanced technology to deliver high-quality, lasting results. We are conveniently located in Anderson, IN, and offer a wide range of services to help you achieve a healthy smile. Schedule a consultation today if you’re ready to learn more about how dental veneers can improve your smile.